12.絨毛膜下血腫??

よく卵膜の外にエコーフリースペース(EFS)を認めることがあります。妊婦さんに血腫があると説明されることがしばしばあるようなのですが、本当にこれは血腫なのでしょうか? そして、その予後は実際どうなのでしょうか?

超音波で無エコーや、低エコー(黒)に見える部分は、「水」か「新しい出血」です。外出血のエピソードがない場合、本当にそのEFSが出血であるということは言及できません。

とくに妊娠初期では、脱落膜内に絨毛膜が侵入する際に少量の出血がおきることもあるようですが、もともと前壁と後壁の子宮内膜の間に液体貯留があって描出されることもあるので、出血なのかどうなのかは、何ともいえないと思います。

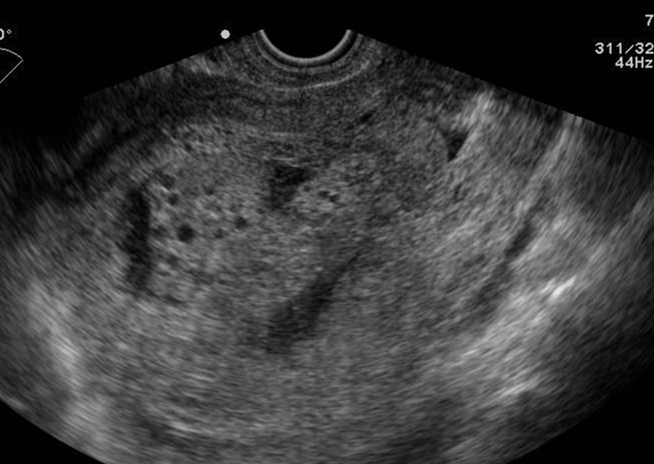
妊娠6週の胎嚢とEFS

図は、妊娠6週の胎嚢とEFSが描出されたものですが、よくみると後壁の子宮内膜(脱落膜)に絨毛膜が着床している様子がわかります。そして、前壁と後壁の脱落膜の間にEFSがあるように見えます。これは、前後の子宮内膜の間にたまった液体貯留である可能性が考えられます。しかし、これだけでは水か出血かの鑑別はできません。

妊娠初期のEFSのありなしで大きく、その後の予後(流産率)に違いはないと考えられています。そもそも、妊娠12週までには15-20%の妊娠は流産に至りますので、血腫(EFS)があろうとなかろうと違いはありません。むしろ、外出血や腹痛といった臨床症状がないのに、血腫があると説明する必要はないかと思われます。止血薬や子宮収縮抑制薬の使用も必要ありません。

この様な妊娠初期のEFSの多くは、自然になくなっていくものです。前述のごとく15-20%は流産に至りますが、それはこのEFSが原因となったかどうかは分かりません。その一方、時々、妊娠中期になってもEFSが持続してみられたり、外出血を伴うものもあります。このようなEFSの場合は血腫であると考えられます。これらは、子宮内での出血が持続しているためか、血腫に感染がおこり、中期の流産に至ることがあるので注意が必要です。

妊娠12週の絨毛膜下血腫

さらに、およそ妊娠16週以降の胎盤形成後も血腫が持続する場合、その出血源は胎盤である可能性が高いです。慢性的な胎盤早期剝離などと言われることもあります。絨毛膜羊膜炎を起こして破水したり、胎児発育不全や羊水過少などに至ることや、出血の増悪で急性の胎盤早期剥離になることもあります。

EFSの鑑別として重要なのが部分胞状奇胎などの絨毛性疾患です。EFSにいくつかの小嚢胞を含む場合は、それらの疾患も疑い、精査する必要があります。

胞状奇胎

また、早めの妊娠中期までは、羊膜は子宮壁にまで達せず宙に浮いています。単に羊膜の外側の胚外体腔をみているだけのこともありますので、注意深い観察が必要です。

胚外体腔